What is so special about this microchip that it helps blind people regain their sight?
Here's what you need to know about the microchip implanted in the eye that combines augmented reality (AR) to help blind people see their loved ones again.
Of 38 patients with age-related macular degeneration, 80% were able to read again after receiving eye implants and wearing these new technology glasses. Here's what you need to know about the microchip eye implant combined with augmented reality (AR) that helps the blind read books.
In a small trial, about 80% of people with vision loss due to age-related macular degeneration (AMD) were able to read letters after treatment, according to a study published Monday (October 20) in the New England Journal of Medicine.
" In the history of artificial vision, this marks a new era ," said study co-author Mahi Muqit, an ophthalmologist at University College London and Moorfields Eye Hospital in England. " Patients who are truly blind can regain central vision, which is unprecedented ."
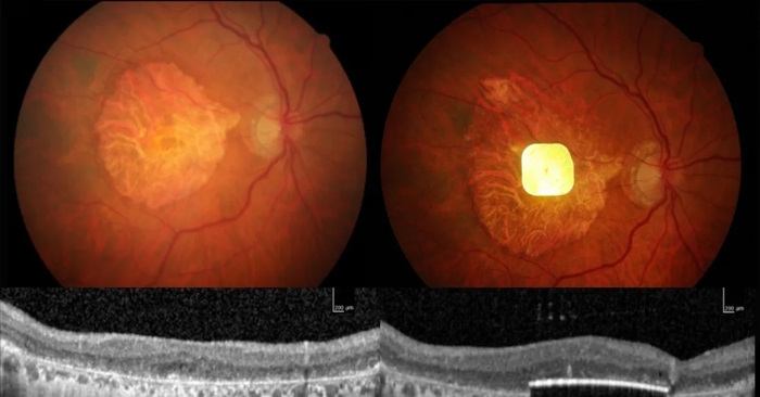
AMD is the most common cause of blindness in adults over 65. The disease affects the macula, or the central part of the retina, and leads to loss of central vision. In advanced AMD, a process called geographic atrophy causes significant damage to retinal cells, potentially leading to complete blindness in that eye. Geographic atrophy affects approximately 5 million people worldwide.
" Before the transplant, I felt like I had two black discs in my eyes, with the outer parts distorted, " said Sheila Irvine, a study participant diagnosed with AMD.
In a small-scale clinical trial, 38 AMD patients in Europe had a tiny electronic chip implanted under the center of the retina, beneath the dead cells. This chip wirelessly connected to a pair of augmented reality glasses attached to a small computer that each person wore on their waist.
This device, called a photoelectric retinal implant microarray system or PRIMA system, uses a video camera in the glasses to capture images of text. The glasses then project that image as infrared light onto an implanted chip. The chip converts the light into electrical signals, which the brain interprets as images.
Irvine shared: " This is a new way of seeing things through your own eyes. Relearning to read isn't easy, but the more time I spend, the more I learn. "
Participants in the study underwent months of training to learn to read using the new device. They also encouraged patients to practice using the device in new ways. Irvine used his device to solve crossword puzzles, while another patient used it to navigate the Paris subway system. The camera's zoom function also helped users read small print, such as on prescriptions.
However, the PRIMA system has some limitations, Dr. Demetrios Vavvas, director of retinal services at Mass Eye and Ear, who was not involved in the study, told NBC News. In its current form, the device only restores black and white vision, not color or grayscale vision, so it cannot be used for facial recognition. Additionally, it remains unclear whether the device will maintain its effectiveness after many years of use.
However, "as versions of this device improve, it could become a real solution for a group of patients with vision loss ," Vavvas told NBC.
Discover more
Augmented reality ARShare by
David PacYou should read it
- Reveal the augmented reality glasses of Microsoft Research
- Facebook partnered with Ray-Ban to produce smart AR glasses - when technology blends with fashion
- Technology wants to replace the phone is about to appear rampant in the next few weeks?
- If anyone tells you illusions then they probably don't know Tango yet
- Fever with a implant device creates a false scene to catch breast cancer cells
- The Quiet Details That Make a Sports Betting Platform Feel Reliable
- Instructions on creating toy set images with ChatGPT AI
- How are AI agents changing the journalism industry?
- Researchers develop rechargeable lithium batteries.
- Amazon has launched a climate change investment fund, aiming to reduce greenhouse gas emissions to zero.
- CO2 concentrations in Earth's atmosphere will reach a 'once-in-a-million' level in 2025.