What is the difference between the brain of men and women?
The human brain is one of the most mysterious objects in the universe but is it that the brains of men and women are different?
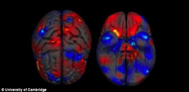
Research shows that: " Men and women 's brains are not much different ." Researchers have found structural differences between the brains of men and women, but they cannot identify individual sex based on the MRI of the brain as shown below.
In the middle of the nineteenth century, researchers claimed that they could identify individual sex when observing their brains. But a new study recently shows that the human brain is not " neat " in both " men " and " women ". In fact, our brains are all in the shape of patchwork, some are more common in men, others are more common in women and the rest are common for both sexes. These findings may alter the way scientists study the brain and even the way society determines gender.
Lise Eliot, a neuroscientist at the Chicago School of Medicine in Illinois, said: " In the past, no one had defined this amount. All studies here are completely new."
As soon as scientists captured the image of the human brain, they began to look for differences between the two sexes. A " modest " difference is reported: " For example, men often have a larger nuclear node - the area involved in emotions. The difference between the sexes is quite small and is greatly influenced by environment, they are still not used to using the binary picture of the human brain . " Eliot continued: " Even data reveal more similarities than differences between men and women."
You can see more videos here: "rel =" nofollow "target =" _ blank ">
So in the most recent study, behavioral neurologists led by Daphna Joel at Tel Aviv University in Israel instructed team members to try to improve as much as possible. By using available MRI images of the human brain, they measure the amount of gray matter (many nerve nodes linked together, the central point of nerve cells) and white matter (a group of fibers neurons transmit signals to the nervous system) among more than 1400 human brains. They also studied data from tensor diffusive images showing how to stretch white matter in the brain and connect with other areas.
The team has found a number of different structures between men and women. For example: Hippocampus (hippocampus) left is the area inside the brain related to memory and men are often larger than women. However, in each area there is quite a lot of overlap, for example, some women have Hippocampus bigger or more like men, while some of Hippocampus of men are smaller than The average magnitude of women.
To accommodate this overlap, researchers created a continuous connection of " feminine" to " masculine " for the entire brain. The limited area of men contains more typical features of men and the limited areas of women have more structures common in women. After that, this research group focused on each specific area to find continuous gender differences.
The research team published it directly on the Proceedings of the National Academy of Sciences: " Most brains are a mosaic of male and female structures ." It depends on whether the researchers can see the gray matter, white matter or tensor diffuse image data. Approximately 23% and 53% of the brain contains a mixture of regions located in the spectral end area in both men and women. Very few - only about 0% to 8% - the brain contains the entire structure of men and women. "Joel said:" There is no specific characteristic of the male brain and the brain. female ".
So how to explain the idea that men and women always behave differently? Joel said: " That is myth ." Her team analyzed two large data sets, which appreciated typical pattern behaviors in two sexes: playing video games, photo albums or bathing. Individuals show a change in those measures: Only 0.1% of them show behaviors that follow only a male or female pattern.
Joel said: " There is no point in talking about male nature and female nature because no one has all the characteristics of men and no one has only the characteristics of women. Or if they really exist, then very rare to see ".
Joel continued: " These findings are very significant ." She thinks that brain scientists may not need to identify men or women when analyzing data about them. In other words, a major change in the human brain will weaken the arguments about sex education based on the innate difference between men and women. Even, even if gender definitions are considered a social category.
Margaret McCarthy, a neuroscience pharmacist at the University of Maryland School of Medicine in Baltimore, who studies gender stereotypes, mental and mental health disorders, says: " This work plays an important part in discussion ". But she disagrees with the idea that it is not beneficial to determine the gender when studying the brain. She found rodent models, for example: why males have autism more than five times or why females are twice as likely to suffer from depression. She added: " To conduct brain research in men and women, we have a 'great' tool to explore fundamental biological differences. Joel urges us to give up nicknames. men and women or men and women - I think it is not reasonable ".
Discover more
brainShare by
Isabella HumphreyYou should read it
- You are often teased as the 'goldfish brain', do not be sad this indicates you have a brain that works very well
- New discovery: The female brain shrinks after pregnancy
- How to download Brain Out on the computer, install Brain Out on the computer
- Interesting discovery: Human brain is more flexible than chimp brain
- Answers to Test Brain Level 1 to 60 (updated continuously)
- The Quiet Details That Make a Sports Betting Platform Feel Reliable
- Instructions on creating toy set images with ChatGPT AI
- How are AI agents changing the journalism industry?
- Stun with the speed of changing the rails of a 177m long 'super train'
- Mysterious tribe of the world's smallest tribe specialized in catching crocodiles and hippos
- Emotional map of the body: The relationship between emotions, physiological state and behavior