The unexpected truth about the forefinger was longer than the big toe

Many people who own their feet with their index fingers longer than their toes think that they are just a special feature of the body without knowing that such a structure of the feet has a lot of potential for foot disease.

Many people who own their feet with their index fingers longer than their toes think that they are just a special feature of the body without knowing that such a structure of the feet has a lot of potential for foot disease.

Feet are a part of reflecting a person's health status. For example, if a person's leg hair suddenly loses or the skin of the foot becomes thin and shiny, then the person is at risk of arterial disease .

The foot with the index finger is longer than the thumb called the " Greek foot ". From a medical perspective, people with such feet are at risk of developing joint inflammation in the toe of their big toe.

Picture 1 of The unexpected truth about the forefinger was longer than the big toe

When the index finger is longer than the other fingers in the foot, when we stand or walk it will be under even more pressure. Then the remaining toes will tend to get closer to it as a way to share the burden. This causes the ligaments on the outside of the ankle to stretch and become vulnerable. Easily lead to inflammation, bruising, acute pain . when legs are tight.

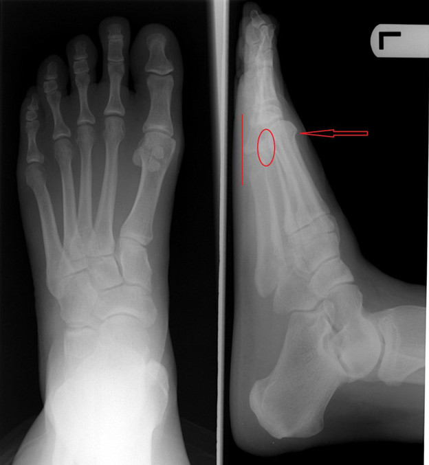
Picture 2 of The unexpected truth about the forefinger was longer than the big toe In the X-around photo, when the index finger is longer, the big toe bone is also pressed and bent close to it.

On the other hand, the index finger is longer than the thumbs, causing the nerve branches between the bones to be pinched, causing the toes to ache every time they wear the shoe, especially high-heeled shoes for a long time.

When walking or standing the muscles of other toes in the feet often tend to fall forward, the victim of "Greek feet" is more likely to suffer from knee, hip and lower back pain.

Picture 3 of The unexpected truth about the forefinger was longer than the big toe

If you own "Greek feet" then pay attention to choosing the right shoes, sandals to help your feet comfortably and avoid the above harms.

  1. What does the hand reveal about your personality?
  2. 10 rare records are unbelievable about the human body

You've just finished reading the article "The unexpected truth about the forefinger was longer than the big toe" edited by the TipsMake team. You can save the-unexpected-truth-about-the-forefinger-was-longer-than-the-big-toe.pdf to your computer here to read later or print it out. We hope this article has provided you with many useful tech tips and tricks. You can search for similar articles on tips and guides. Thank you for reading and for following us regularly.

« PREV Overweight at age 20 has a 60-80% chance of developing stomach cancer later
NEXT » Chewing gum can adversely affect the small intestine