Mysterious people without brains still live healthy even learning well
There are many cases of doctors startled, horrified to find that their patients lack 90% of the brain and still live healthy, working normally even have high IQ and good study.
We still insist that a person who lacks a brain will definitely not survive. But the truth is, there are many cases that the doctors are startled, horrified to find that their patients lack up to 90% of the brain and still live healthy, working normally even with a high IQ. and study well.
Here are the cases where people don't have a brain or suddenly lose a head but still live the most exotic health in the history of world medicine.
No brain still has IQ and good learning
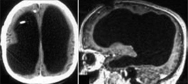
In 1935, John Lorber, a doctor, professor of pediatrics at the University of Sheffield (England), treated a math student at the school when he was ill. After taking a CAT-scan, Professor Lorber was amazed to find that the student had absolutely no brain.
A normal person must have 2 hemispheres filled with a skull at a depth of 4 - 5cm, but this young man only has 1mm of brain tissue covered on the top of the spine.
He is still living normally, even having IQ IQ of 126, studying very well, having gained an honorary degree in mathematics.
In 1970, this young man died at the age of 35, the autopsy doctors were shocked when he saw no brain.
According to scientists, the brain is associated with the ability to "run" the whole body, the human mind. So, until now, they still cannot explain why a person without a brain still has a high IQ.
Going to the foot examination found no brain
In 2007, a 44-year-old man was living a normal life like any other person with a wife and two children hospitalized because he felt his left leg was weak.
After the CT scan and magnetic resonance, the doctor was surprised to see that his ventricles were enlarged, while the brain, the gray matter and the white matter, did not.
Brain images of strange men with small brains that are almost impossible.
It is known that when he was 6 years old, this man had a brain fluid. According to doctors, this may be the reason he doesn't have a brain. But this omission did not hinder his development.
Losing a head still lives well
New York Medical Journal (USA) published in 1888 mentioned a strange story that happened to a sailor who drove the river. When this person climbed on the mast to tie the ligament, the sharp-edged rod like a knife had cut off the 5-6 cm top part. Immediately, he was taken to an emergency hospital.
When the doctors saw the hope of saving life, suddenly he opened his eyes, asking what had happened. It seems that losing a head has no effect, he leaves the operating table and demands to return to the ship to work. Although his brain was severely injured, doctors still decided to reconnect the severed head to the sailor.
After two months of treatment, he recovered completely and returned to work. Later that time, he only occasionally felt a slight dizziness. The sailor still lived perfectly healthy for another 26 years before being paralyzed with her left arm and leg.
Decipher the mystery
Why do some people without brains or suddenly lose part of their brain still live like a normal person for a long time? Scientists have made a lot of hypotheses to explain these mysterious cases.
According to Axel Cleeremans, cognitive psychologist from Libre de Bruxelles University in Belgium, there is a large amount of preventive function in the brain, just a few remaining cells can help real people showing all functions in place of both hemispheres is missing.
Some other scientists hypothesize that the human body has two control systems including the brain, nervous system (using nerve cells to transmit data) and endocrine glands, using hormones. or special biological substances to transmit information throughout the body.
Many scientists continue to seek out the correct answers to these strange cases. They hope, the answer will open hope for some diseases that cause neurodegeneration.
- Science explains the cause of the phenomenon that has just left the door to forget what to do that many people have
- Scary hair with the scary carnivorous tribes in the world
You've just finished reading the article "Mysterious people without brains still live healthy even learning well" edited by the TipsMake team. You can save mysterious-people-without-brains-still-live-healthy-even-learning-well.pdf to your computer here to read later or print it out. We hope this article has provided you with many useful tech tips and tricks. You can search for similar articles on tips and guides. Thank you for reading and for following us regularly.
- The secret to staying healthy and giving advice from experts
- Scientific ways to help us live longer
- Scientifically proven: Meditation keeps our brains 'young' and healthy
- Each Singaporean is given a Fibit to take care of their health
- Thanks to this special 'energy', people can live without eating and stay healthy
- 10 mysterious and strange places appear Google Earth that surprised people