This AI 'doctor' is being used to quickly diagnose Corona virus
This software was developed in collaboration with AI engineers at Infervision and a team of experienced doctors at Wuhan Hospital.
As of December 31, 2019, just before the outbreak of Wuhan pneumonia (Covid 19), an AI-based epidemiological information analysis system called BlueDot immediately alerted the signs. of a global epidemic and localize dangerous areas. This marks the early participation of artificial intelligence in the fight against this dangerous disease.
Recently, Beijing-based technology startup Infervision continues to introduce an entirely new AI-based software, which can help diagnose Covid 19 cases in a short time with high accuracy.
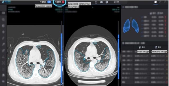
This software was developed in collaboration with AI engineers at Infervision and a team of experienced doctors from Wuhan Hospital. In actual operation, it can help detect the typical symptoms of Covid 19 by searching as well as analyzing abnormalities in the lungs of the patient.
Although pneumonia and coronary pneumonia are caused by other factors, there are certain differences. It is not easy to point out this difference, the manual analysis process is highly accurate but extremely time-consuming, thereby putting great pressure on doctors as well as the whole health system in the context. the number of suspected and isolated cases increased rapidly day by day.
Using AI in the analysis process will save a lot of time, but to ensure accuracy, the amount of input data must be carefully selected and rich enough. To train the AI model, researchers used more than 2,000 CT images of the lungs of the first Chinese Covid 19 patients of various ages, and all were analyzed using NVIDIA V100 GPUs. . The AI software was later developed by Infervision engineers based on NVIDIA Clara, an application framework for medical imaging and genomics. While the NVIDIA T4 GPU is used to support AI inference.
The main advantage of AI-based diagnostic software lies in time, as well as in cross-comparing and analyzing patient progression after multiple tests. Infervision's software has been deployed in more than 34 hospitals across China and is being tested in the United States and Europe in the face of an increasingly complex disease. So far, the software has helped diagnose more than 32,000 cases of signs of Covid infection 19.
Discover more
Covid 19 AI artificial intelligence AI in healthcare BlueDot corona virus artificial intelligence detect coronaShare by
Jessica TannerYou should read it
- Rumors regarding the new Corona virus (2019-nCoV) and WHO answers
- Hackers take advantage of the panic in the Corona virus epidemic to spread malware on the internet
- Distinguishing corona virus infection and the common cold, pay attention to this
- Nausea and diarrhea may be early symptoms of Covid-19, before you have a fever and cough
- Experts answer: can Covid-19 pathogens get into clothing, shoes when on the road?
- The Quiet Details That Make a Sports Betting Platform Feel Reliable
- Instructions on creating toy set images with ChatGPT AI
- How are AI agents changing the journalism industry?
- Found the bird preserved naturally in the permafrost, 46,000 years intact
- Is Google trying to convince users to 'boycott' Microsoft Edge?
- Detecting Android malware can easily steal OTP code without the victim knowing